Política
21/06/2023 12:35
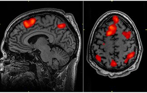
Sancionada criação do Dia Nacional da Doença de Huntington
21/06/2023 12:34 | VAGA NO STF
Não poderei julgar processos em que eu tenha atuado como advogado, afirma Zanin
21/06/2023 12:24 | POLÍTICA
Zanin do STF: Moro defende sabatina 'rigorosa' seja qual for o presidente ou o indicado
21/06/2023 12:21
Comissão aprova selo 'Arte' para alimentos artesanais de origem vegetal
21/06/2023 12:21
CAE aprova novo arcabouço fiscal com mudanças; matéria vai a Plenário
21/06/2023 12:21
Flávio Bolsonaro manifesta satisfação com depoimento de Silvinei na CPMI
21/06/2023 12:02 | POLÍTICA
Zanin diz que Lula o indicou por conhecer seu trabalho, e será subordinado só à Constituição
21/06/2023 11:35
Debatedores apontam necessidade de mais regulamentação do e-commerce, especialmente para importações
21/06/2023 11:30 | POLÍTICA
Decisões monocráticas sempre estarão sujeitas ao crivo dos demais ministros do STF, diz Zanin
21/06/2023 11:21 | POLÍTICA
Cerro Azul vira capital nacional da mexerica ponkan
Mais lidas
-
1DEFESA NACIONAL
'Etapa mais crítica e estratégica': Marinha avança na construção do 1º submarino nuclear do Brasil
-
2ECONOMIA GLOBAL
Temor dos EUA: moeda do BRICS deverá ter diferencial frente ao dólar
-
3CRISE INTERNACIONAL
UE congela ativos russos e ameaça estabilidade financeira global, alerta analista
-
4REALITY SHOW
'Ilhados com a Sogra 3': Fernanda Souza detalha novidades e desafios da nova temporada
-
5FUTEBOL INTERNACIONAL
Flamengo garante vaga na Copa do Mundo de Clubes 2029 como quinto classificado