Vida e Saúde
Parasita nunca antes visto em seres humanos é motivo de infecção pulmonar em mulher
Paciente de 64 anos foi internada sentindo dor abdominal, diarreia, tosse seca e sudorese noturna
Uma mulher de 64 anos, originária do sudeste de Nova Gales do Sul, Austrália, foi internada em um hospital local, após três semanas de dor abdominal e diarreia, seguidas de tosse seca e sudorese noturna. Segundo os médicos, a paciente, cujo nome não foi revelado, tinha um histórico médico de diabetes mellitus, hipotireoidismo e depressão.
Cheiro de mofo nos armários:
Segundo a ciência:
Os médicos realizaram uma tomografia computadorizada de seus pulmões. No resultado, foram constatadas áreas opacas, onde o tecido havia engrossado, causado por uma inflamação ou infecção que fez com que seus pulmões se enchessem de fluidos, pus ou um acúmulo de glóbulos brancos.
Seu fígado e seu baço também apresentavam lesões e áreas de tecido danificadas.
Para chegar a um possível diagnóstico, os médicos pegaram amostras do fluido presente nos pulmões da paciente e encontraram uma porcentagem alta de eosinófilos, um tipo de glóbulo branco que combate infecções.
Os médicos, depois de avaliá-la, a diagnosticaram com uma doença pulmonar rara, chamada pneumonia eosinofílica. Passaram uma dose diária de prednisolona, que aliviou seus sintomas, mas a causa da infecção pulmonar seguiu sendo desconhecida.
Três semanas depois, ainda tomando o medicamento, ela foi internada novamente com febre recorrente e tosse persistente. Segundo os médicos, as lesões em seus órgãos não haviam cicatrizado. Foram realizados outra bateria de exames, mas nenhum foi suficiente para identificar a causa de seu desconforto respiratório.
Fenômeno 'therian':
O exame de sangue detectou que o sistema imunológico da mulher não estava produzindo anticorpos para vários vermes parasitas, como flukes de sangue (Schistosoma) ou flukes hepáticos (Fasciola).
Foram pedidas amostras fecais, mas nenhuma delas mostrou algum desses parasitas. Os médicos voltaram a indicar a prednisolona e prescreveram ivermectina após a paciente relatar que teria viajado para países onde parasitas como esses são mais comuns.
Os sintomas respiratórios não desapareceram e pioraram quando tentou reduzir a dosagem da prednisolona, e ela permaneceu da mesma forma por meses.
A mulher voltou para o hospital uma terceira vez, cerca de um ano depois da primeira vez, com depressão e episódios de esquecimento. Após uma ressonância magnética, os médicos detectaram uma lesão no lobo frontal direito e realizaram uma biópsia aberta.
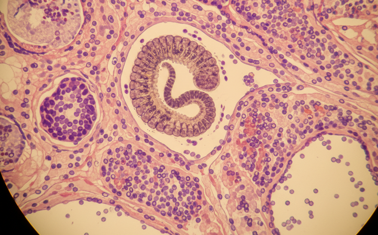
E foi então que a equipe médica se chocou ao encontrar “uma estrutura semelhante a uma corda” dentro da lesão, que foi identificada como um verme parasita vivo chamado helminto. O verme era vermelho brilhante e media cerca de 80 milímetros de comprimento e 1 milímetro de espessura, informou a Live Science.
Veja quais:
Os médicos identificaram a larva helminto como uma larva de terceiro estágio de Ophidascaris robertsi, um nematóide parasita nativo da Austrália. Esses vermes adultos se reproduzem dentro de cobras pítons de carpete, mas podem infectar outros animais durante o estágio larval.
Esse tipo de cobra, mais tarde os médicos descobriram, era comum perto da casa onde a mulher morava. Apesar de ela relatar que nunca teve contato com esses animais. Segundo a equipe médica, o que pode ter sido uma chave para a infecção foram verduras mal-cozidas servidas para alimento.
"É bem provável que alguma dessas plantas estivesse contaminada por ovos de O. robertsi e que, depois dos ovos eclodirem, as larvas migraram para seus órgãos”, sugerem os autores do relato.
Nenhuma infecção humana por esse parasita jamais foi documentada, nem a larva do parasita foi encontrada no cérebro de seu hospedeiro.
Após a remoção da larva do cérebro, a paciente recebeu anti-helmínticos e dexametasona para tratar possíveis larvas em outros órgãos e prevenir infecções adicionais. As lesões nos órgãos da paciente sumiram, bem como a contagem de glóbulos brancos voltou ao normal meses depois da cirurgia. Bem como seus sintomas neuropsiquiátricos também melhoram.
Mais lidas
-
1FENÔMENO NAS REDES
Procuradas 'vivas e fofas': zoológicos russos enfrentam filas para adquirir capivaras em meio à popularidade
-
2TRAGÉDIA
Vídeos de detetive flagrando traição foram o estopim para secretário matar os próprios filhos em Itumbiara
-
3TECNOLOGIA AERONÁUTICA
Empresa russa Rostec apresenta novo motor a pistão para aviação leve
-
4JUSTIÇA
Juíza natural de Palmeira dos Índios é convocada para atuar por seis meses no STJ em Brasília
-
5MEMÓRIA
Jaqueta de Dinho, dos Mamonas Assassinas, é encontrada intacta em exumação