Alagoas
Corpo de enfermeiro do Mato Grosso é identificado após exame de odontologia legal
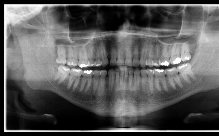
O setor de odontologia legal do Instituto Médico Legal Estácio de Lima (IML) identificou nesta quinta-feira (16) que o corpo encontrado no início de janeiro em um apartamento no bairro de Petrópolis, parte alta de Maceió, era do enfermeiro Artur Santos de Oliveira, de 30 anos, natural de Mato Grosso.
A partir de documentos solicitados pelo IML e enviados pela então suposta família da vítima, a odontolegista Isabella Lemos confrontou as imagens de antes e depois da morte, e identificou convergências quantitativas, qualitativas e morfológicas suficientes para a identificação do cadáver.
Segundo Isabella Lemos, exames odontológicos realizados durante a vida podem ser essenciais para identificação de cadáveres que chegam ao IML. Os exames disponibilizados pela família continham fotografias extra-orais, intra-orais, radiografia panorâmica e cefalometria, que, de acordo com a perita odontolegista, foram importantes para a identificação da vítima.
“Através desse caso, deu para ressaltar a importância da contribuição dos cirurgiões dentistas com as perícias de identificação odontolegal, já que, por se tratarem de metodologias comparativas, é fundamental que os dentistas que atuam no atendimento preencham adequadamente o prontuário odontológico e que guardem também toda a documentação, como por exemplo os exames radiológicos, modelos em gesso, fotografias do paciente”, aponta Isabella.
Através da identificação oficial, foi possível dar celeridade ao processo de liberação do cadáver, garantindo um atendimento humanizado e preservando o direito aos familiares de realizar as últimas homenagens de despedida.
Mais lidas
-
1DESCOBERTA ASTRONÔMICA
Astrônomos identificam estrela de hipervelocidade ejetada do centro da Via Láctea
-
2GREVE
PM usa bombas e gás para desocupar reitoria da USP; estudantes prometem ato unificado na segunda (11)
-
3POLÍTICA
“Se os Garrotes derem mais, eu fecho”: Vídeo vazado expõe Júlio Cezar e a política sem amor; veja vídeo
-
4CURIOSIDADE INTERNACIONAL
Mulher bebe quase uma garrafa inteira de tequila para evitar descarte em aeroporto dos EUA
-
5INFRAESTRUTURA E DESENVOLVIMENTO REGIONAL
Aeroporto de Penedo está pronto e aguarda autorização para primeiros voos, afirma Paulo Dantas